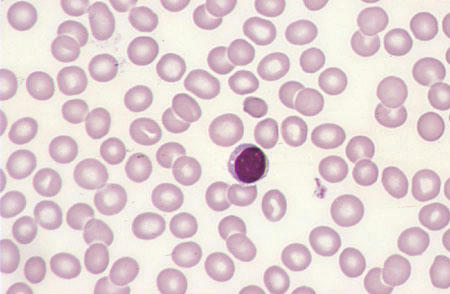
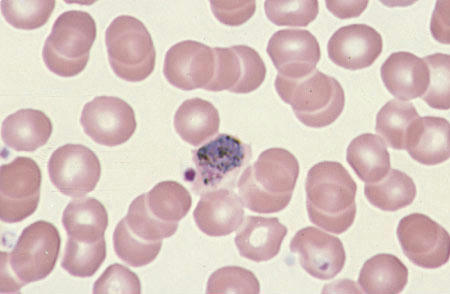
گلبول های قرمز نرمال . لنفوسیت کوچک در وسط میدان
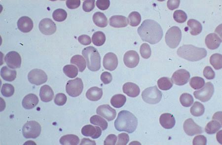
هایپرکروموزیا و میکروسیتیک کم . کم خونی اولیه آهن . لنفوسیت کوچک در گوشه راست میدان

هیپرکرومازیا و میکروسیتیک زیاد . کم خونی اهن . لنفوسیت کوچک در میدان

پلی کروموتوفیلی . گلبول های بزرگ با رنگ بنفش کم رنگ

ماکروسیتوزیز

اسفروسیتوزیز . گلبول های هایپرکروماتیک کوچک

گلبول قرمز نرمال . لنفوسیت کوچک در وسط میدان

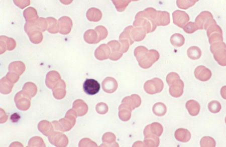
پدیده رولکس (سکه ای خودمون ) . لنفوسیت کوچک در وسط میدان

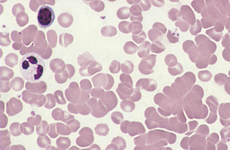
لخته شدن گلبولها . لنفوسیت کوچک و نوتروفیل هایپرسیگمانته در گوشه بالا سمت چپ

انگل بابزیا در داخل گلبول

تروفازوئید پلاسمدیوم ویواکس در داخل گلبول

برچسبها: گلبول قرمز, مورفولوژی گلبول قرمز
+ نوشته شده در جمعه ۱۳۸۸/۰۶/۲۰ساعت 4:35  توسط امیر
|